PODOLOGÍA INTEGRAL

Podología avanzada

Alteraciones de la biomecánica

Estudio de pisada y exploración

Cada paciente presenta características únicas y aunque la herencia cuenta en la posibilidad de que aparezca la enfermedad, su evolución y como irá, es el resto de los elementos como el calzado, actividad física y como se realiza, trabajo, alimentación, entré otros, los que tienen una gran importancia en la enfermedad.

Por este motivo es necesario tener un conocimiento de la biomecánica del pie, tanto de pie como andando o corriendo, para poder contar con una herramienta clave a la hora de afrontar la enfermedad o para mejorar y adecuar el rendimiento deportivo del pie a las necesidades del paciente.


Un pie en descarga puede presentar características que nos hagan pensar que estamos ante un pie más pronado o supinado, varo o valgo, cavo o plano, evertido o invertido, pero SÓLO al apoyar el pie es cuando tenemos una información clara y concisa de cómo funciona cada uno de sus elementos de manera individual y combinada con el resto de las partes del pie, su importancia, como actuar si es posible y si fuese necesario.

Osteocondrosis (Osteocondritis)

En las osteocondrosis (osteocondritis) nos encontramos ante la inflamación del cartílago articular más su hueso subcondral y centros de osificación de huesos por una insuficiencia del aporte sanguíneo de manera normalmente reversible en estas zonas, dándose especialmente en niños. Suele aparecer dolor en la zona, especialmente por la presión e imposibilidad de andar o realizar deporte. Un tratamiento adecuado y rápido reduce el periodo de recuperación y posibles complicaciones. 

En la imagen vemos un SERVER u osteocondrosis en el calcáneo.

Osteofitos y huesos accesorios

Osteofitos

Es el crecimiento de hueso por presiones, golpes (micro traumas) repetidos o por la evolución de enfermedades crónicas, en una zona de ese hueso.

Aparecen cerca de las articulaciones y suelen generar imposibilidad de calzarse, dolor, durezas, helomas, heridas y los famosos ojos de gallo (heloma interdigital).

En las imágenes vemos osteofitos que en la piel generan un heloma dorsal del 5º dedo.

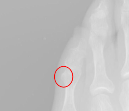
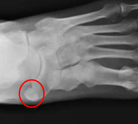
Huesos accesorios

Son huesos que se forman a partir de nuevos puntos de crecimiento óseo en los huesos normales dando variaciones de la anatomía.



Algunos de ellos son relativamente frecuentes y confunden sus síntomas con fracturas. Pueden producir dolor en la zona y limitación de la articulación o miembro. En las imágenes vemos un OS NAVICULAR o escafoides accesorio.